Do you experience jaw pain while chewing? This discomfort can affect your daily life, making it difficult to enjoy eating, drinking, or speaking. Our services provide tailored solutions to prevent and effectively treat this pain.
Also read:
Table of Contents
- Why do you have jaw pain?
- How to Relieve Jaw Pain?
- Our Services for Your Dental Well-Being
- Book an Appointment Today
Why do you have jaw pain?
The causes of chewing pain vary. Identifying the root cause helps in choosing the most effective treatment.
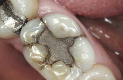
1. Cavities
An untreated cavity can cause severe pain, especially when chewing. If the cavity reaches the dental pulp, it can lead to an infection requiring urgent treatment.
2. Malocclusion
A poorly fitted filling or a misaligned dental crown can prevent proper jaw closure, leading to pain and tension.
3. Gum Inflammation
Poor oral hygiene can cause gingivitis or periodontitis, weakening the gums and causing pain while chewing.
4. Fractured or Cracked Tooth
A broken tooth exposes the nerve, making chewing painful. A prompt visit to the dentist can prevent complications.
5. Bruxism
Teeth grinding leads to muscle tension and jaw pain, often occurring unconsciously and exacerbated by stress.
How to Relieve Jaw Pain?
1. Maintain Good Oral Hygiene
- Brush your teeth twice a day with a soft-bristled toothbrush.
- Use a toothpaste for sensitive teeth.
- Get a regular dental cleaning from your dentist.
2. Adjust Your Diet
- Avoid acidic foods (citrus fruits, tomato sauce).
- Reduce consumption of very hot or cold foods.
- Avoid hard foods that put excessive strain on the jaw.
3. Consult a Dentist
4. Medical Treatments
If the pain persists, your dentist may recommend:
- Painkillers or anti-inflammatory medication.
- A dental splint to reduce the effects of bruxism.
- A bite correction in cases of occlusion issues.
Our Services for Your Dental Well-Being
We offer professional dental services tailored to your needs, ensuring effective pain relief and long-term oral health.
Book an Appointment Today
Don’t let jaw pain affect your daily life. Schedule an appointment with our specialists to receive the best care.










0 Comments